Гингивит клиника диагностика профилактика и лечение

Автор: krissa от 24-06-2010, 22:34

Гингивит клиника диагностика профилактика и лечение  Гингивит – воспалительное заболевание десны, которое возникает под влиянием неблагоприятных факторов, как общего состояния организма, так и состояния полости рта. Гингивит – очень распространённое заболевание, которое чаще всего возникает у молодых людей. В этой статье мы рассмотрим, что такое гингивит клиника диагностика профилактика и лечение этого заболевания.

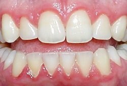
  Гингивит характеризуется отёком, появлением кровоточивости дёсен, повышенной чувствительностью десен и зубов, сильной гиперемией дёсен. Эти явления могут наблюдаться как на одном ограниченном участке полости рта, так и на всей поверхности дёсен. Зависит это, большей частью, от факторов, которые вызвали гингивит.

 

  Гингивит может возникнуть из-за образования зубного камня, зубного налёта вследствие нарушения правил гигиены полости рта, курения, химического раздражения или ожога слизистой оболочки полости рта, инфекционных заболеваний полости рта, фузоспириллярной инфекции.

 

    Причины возникновения гингивита

    1. Отсутствие правильной гигиены зубов и полости рта (это – наиболее частая причина гингивита у детей и подростков).

    2. Неправильные протезы, пломбы. Потёртости на десне из-за новых или неудобных протезов, «шатание» протезов.

    3. Неправильное развитие зубов, тесный рост зубов, образование лишних зубов рядом со здоровыми.

    4. Аномалии развития языка, губ, укороченность уздечек.

    5. Неправильный прикус.

    6. Заболевания желудочно-кишечного тракта (язва желудка, кишечника, гастрит).

    7. Гормональные перестройки организма в период полового созревания, беременности, при сахарном диабете.

    8. Заболевания крови.

    9. Авитаминоз

  10. Низкий иммунитет.

  11. Стрессы.

  12. Чрезмерный приём медикаментов.

  13. Интоксикации ртутью, свинцом, бромом, фтором.

 

    Гингивит – клиника, диагностика

  Генерализованный гингивит бывает катаральным, язвенным и гипертрофическим. Катаральный гингивит возникает в ответ на раздражение дёсен, гипертрофический гингивит возникает чаще всего в подростковом возрасте, а также у женщин во время беременности. Язвенный гингивит возникает вследствие нарушения трофики тканей полости рта, наиболее часто это возникает при гиповитаминозе и авитаминозе С, а также при приёме некоторых видов медикаментов.

 

  Клиническая картина катарального острого гингивита – сильный отёк десны, покраснение, боль и жжение в ткани десны, кровоточивость дёсен. При катаральном хроническом гингивите заметен цианоз десны, умеренный отёк, рыхлость ткани десны.

  Гипертрофический гингивит проявляется уплотнением десны, её разрастанием и частичным перекрытием зубов. Часто при гипертрофическом гингивите образуется зубной камень под десной, заметно неправильное положение зубов.

 

  Язвенный гингивит характеризуется сильным помутнением сосочков десны, сильная болезненность, образованием плёнки из некротической ткани на верхнем крае десны. Дёсны сильно кровоточат, поверхность их после снятия некротической плёнки ярко-красная. Нередко из-за сильнейшей болезненности десны при язвенном гингивите больной не может принимать пищу. У больного отмечается сильное слюнотечение, неприятный и даже зловонный запах изо рта, увеличение лимфатических узлов, повышение температуры тела до 38 градусов и выше, сильная головная боль, признаки общей интоксикации организма.

 

  Локализованный гингивит возникает после травмы полости рта зубной щёткой, твёрдой пищей, зубочисткой. Боль при локализованном гингивите становится сильнее во время приёма пищи. Сосочки десны отёчны, красного или синюшного цвета. Хронический локализованный гингивит не всегда выражен болью, боль возникает только при застревании пищи между зубами. Край дёсен имеет цианотичный цвет, отёк. При любом механическом воздействии десна кровоточит.

 

    Гингивит – профилактика и лечение

  При лечении гингивита важно выявить и устранить факторы, которые спровоцировали развитие заболевания. Проводят санацию полости рта.

  При гипертрофическом гингивите выполняют хирургическое лечение, направленное на иссечение разросшейся ткани десны, и пластику поверхности десны.

  Язвенный гингивит нуждается также в хирургическом лечении для удаления поражённой ткани десны. Поверхность десны обрабатывают перекисью водорода, химотрипсином, трипсином. Обязательно применение иммуномодулирующих лекарственных средств. Иногда применяют лечение антибиотиками, витаминами.

 

  Если гингивит возник в острой форме, то для лечения понадобится приблизительно две недели. Хронический гингивит требует более длительного и комплексного лечения.

  Гипертрофический гингивит очень часто даёт рецидивы, и больному требуется повторное лечение.

  При генерализованном гингивите важно удалить зубной камень, для профилактики рецидивов нужно тщательно и систематически выполнять гигиену полости рта.

 

  При локализованном гингивите полость между зубами заполняют вкладкой или пломбированием для предотвращения попадания пищи.

  Для профилактики гингивита нужно тщательно выполнять гигиену полости рта, вовремя проводить лечение повреждённых кариесом зубов. Если гингивит не лечить – возникает более серьёзное заболевание, угрожающее постепенным расшатыванием, а через какое-то время полной потерей зубов – пародонтит.

  К профилактике гингивита относится также посещение стоматолога хотя бы раз в год в профилактических целях. Стоматолог вовремя заметит кариес на зубах и назначит лечение, а также удалит зубной камень.

 

  Зная, что представляет собой заболевание гингивит клиника диагностика профилактика и лечение, нужно применять все меры профилактики для того, чтобы не допустить развитие этого заболевания. При первых же тревожных симптомах гингивита нужно не заниматься самолечением – это может лишь усугубить заболевание, а обратиться к врачу-стоматологу, который назначит правильное и своевременное лечение.


Теги: Гингивит, воспаление дёсен, полость рта, язвы, лечение, клиника, диагностика, симптомы

Ваш комментарий:
  • wink winked smile am
    belay feel fellow laughing
    lol love no recourse
    request sad tongue wassat
    crying what bully angry
Вопрос:* Сумма 1 плюс 5? (прописью)
Цитата
  • Группа: Посетители
  • Комментариев: 36
  • Регистрация: 14.11.2013
  • Публикаций: 0
^
Да уж, проблемы с деснами у меня тоже были, и я даже сама как то пыталась лечиться, полоскала соленой водой, эффект правда был небольшой. Потом все равно пришлось идти к стоматологу, и он мне посоветовал недельку пополоскать рот стоматофитом, десна после него быстро перестали кровить. Теперь я и для профилактики тоже раз в полгода им рот полощу.
Цитата
  • 12 января 2016 17:57
  • Группа: Гости
  • Комментариев: 0
  • Регистрация: --
  • Публикаций: 0
^
Анна, я и не знала, что при ношении брекетов он тоже помогает. Я им при воспалении десен пользуюсь, сестра стоматит лечит. Действительно хорошее средство, без всяких побочных действий, и что хорошо, в отличии от стоматофита, пломбы от него не темнеют.
COPYRIGHT © 2010 - 2019 365men.ru Обращение к пользователям. All Rights Reserved.
Яндекс.Метрика