Кариес появился за несколько дней

Автор: redkay от 20-04-2011, 07:10

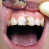
Кариес появился за несколько дней  Зубы могут разрушаться по разным причинам. И самая распространенная патология – это кариес. Поэтому многие озабочены вопросом, что делать, если кариес появился за несколько дней? Тем более на зубах темный налет может образоваться даже за несколько часов. Среди ведущих провоцирующих факторов этого стоматологического заболевания числятся: чрезмерное употребление сладостей, отсутствие должного ухода за зубами и плохое питание.

Кстати, именно пищевой рацион играет главную роль в правильном формировании и функционировании зубного аппарата. Зубы принимают активное участие в процессе измельчения продуктов, оно позволяют нам откусывать, жевать, проявлять речевые навыки, а также защищать полость рта от проникновения твердых и вредных веществ.

 

  Если кариес не лечить, то из поверхностных повреждений образуются глубокие. По сути, зубы это не просто фрагменты костной ткани, они требуют не меньшего внимания и ухода, чем любые другие органы. Поэтому легче регулярно проводить профилактику кариеса, чем потом постоянно пломбировать, и в итоге все равно лишаться зубов. Повреждаться зубы действительно могут за пару часов или дней, если на них воздействовали агрессивные элементы. К примеру, если на зубы попали химические или биологические реагенты (кислоты, щелочи). Кроме того, кариес может появиться очень быстро при условии, что на зубах не менее 2 недель имелся налет, который не очищался специальными средствами, то есть зубной щеткой, пастой, нитью. В отложениях скапливаются бактерии, поражающие не только зубную эмаль, но и окружающие ткани – десна. Некоторые ученые считают, что не последними моментами в образовании кариеса являются и вирусные атаки, ослабляющие организм, и вызывающие разрушение зубов. По идее, снаружи зуб представляет собой довольно прочный материал (минеральные неорганические вещества), но внутри он имеет мягкую пульпу с сосудами и нервами.

 

  Коронка зуба покрыта природным цементом, однако не может противостоять микроорганизмам, живущим в ротовой полости. В результате остатки пищи, застревающие между зубами и оседающие на эмали, формируют отличную среду для размножения и паразитирования бактерий, питающихся зубной тканью. Временные отложения на зубах с мягким составом не представляют угрозы, в них содержатся даже полезные компоненты, такие как сахара – продукты жизнедеятельности собственной флоры, вырабатывающие молочную кислоту. Но когда налет становится твердым, то появляется зубной камень, который приводит к воспалительным явлениям в зубах и деснах. Данный процесс называется деминерализация, и сначала он охватывает наружные слои, затем проникает внутрь зуба. К тому же, кариес может захватывать большую поверхность зубной ткани.

 

  Кариес быстро поражает зубные ткани все глубже и глубже, добираясь до рыхлой соединительной ткани с кровеносными сосудами, нервными клетками. Стоматологи и дантисты полагают, что появление деминерализации за несколько суток напрямую связано с наследственной предрасположенностью. Врачи отмечают, если у матери или отца имелись случаи с кариесом, то вероятность того, что у ребенка появится эта патология, составляет до 50%. Нередко родители не обращают внимания на состояние зубов у своих детей до 5 лет, полагая, что в таком возрасте рано говорить о риске кариеса. Поэтому многие начальные симптомы кариеса остаются без лечения, что чревато потерей зубов в детстве. Кстати, часто первые признаки кариеса обнаруживаются даже у самых маленьких ребятишек, начиная с двухлетнего возраста. Но наибольшая частота эпизодов с разрушением зубов по генетическим причинам наблюдается в возрастной категории от 4 до 12 лет.

 

  Конечно, это не означает, что только наследственные факторы могут привести к патологии зубов в раннем возрасте. На самом деле у детей младшего возраста в некоторых случаях кариес может возникнуть и по другим причинам. Обычно разрушение зубов находит на приеме педиатр, когда к нему приводят детей с жалобами на боли в горле, увеличение лимфатических шейных узлов и высокую температуру. При осмотре полости рта выясняется, что виновник непонятных проявлений – кариес, а не тонзиллит. Ошибочно полагать, что молочные зубы не нужно лечить, так как они все равно должны скоро выпасть. Дело в том, что на месте кариозных временных зубов часто вырастают слабые и предрасположенные к повреждениям постоянные зубы. Единственное, что не грозит, - это распространение разрушения эмали на другие молочные зубы, но за ними тоже нужно следить и ухаживать.

 

  Чистка зубов, по-прежнему, остается среди первых методов предотвращения кариеса. Какие бы ухищрения не изобретали, лучше, чем механическое очищение поверхности зубов, пока не найдено. Еще в древние времена народные наши предки пользовались нехитрыми средствами в таких случаях. В ход для чистки зубов шел уголь, а затем и зубной порошок, на смену которому пришла зубная паста. Сейчас появилось множество разновидностей пасты, и с лечебным эффектом, и с отбеливающим действием, и с укрепляющими свойствами. Но при использовании жирных, сладких и синтетических изделий одним процедурам очищения невозможно противостоять кариесу, следует менять и рацион питания.


Теги: кариес зубы разрушение

Ваш комментарий:
  • wink winked smile am
    belay feel fellow laughing
    lol love no recourse
    request sad tongue wassat
    crying what bully angry
Вопрос:* Сумма 3 плюс 3? (прописью)
COPYRIGHT © 2010 - 2019 365men.ru Обращение к пользователям. All Rights Reserved.
Яндекс.Метрика