Зубной налет и зубной камень

Автор: Людмила от 10-03-2011, 09:32

Зубной налет и зубной камень  Для того чтобы зубы сохранить здоровыми, необходимо бывать у стоматолога как минимум один раз в полгода. Это правило, которому нас учили еще со школьных времен, но дело все в том, что стоматология – не самое приятное место, куда человек, чувствующий себя нормально и не ощущая зубной боли, пойдет добровольно. Только когда терпеть становится уже невозможно, когда по ночам мешает уснуть острая боль, мы идем к врачу. Оказывается все не таким страшным, как представлялось. Зуб запломбирован, но помимо этой проблемы выясняется, что существует еще куча других. Например, зубной налет и зубной камень, которые, по непонятным причинам, кажутся безобидными многим людям.

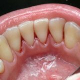
  Ни зубной камень, ни зубной налет не должны присутствовать у здорового человека. Давайте разберемся, что такое зубной налет и почему образуется зубной камень, чтобы стало понятнее, почему от них нужно своевременно избавляться. Эти дефекты на поверхности зубов образуются в результате того, что во рту очень много микроорганизмов, живущих в благоприятной среде, наполненной остатками  пережеванной пищи и отмирающими непрерывно клетками. Деваться всем этим образованиям просто некуда, поэтому они и оседают на зубах, не только портя их внешний вид, но и создавая реальную угрозу для состояния здоровья всей полости рта. Зубной налет постепенно превращается в зубной камень. Соответственно, легче обратить внимание на возникновение заболевания еще на начальной стадии и своевременно принять еры по устранению зубного налета.

 

  Образование проблем в ротовой полости связано со многими факторами. Например, некоторые совершенно неправильно следят за гигиеной полости своего рта, не чистят зубы после еды, перед сном, а некоторые еще и по утрам.  В рационе человека не должна присутствовать исключительно пища с мягкой консистенцией. Твердые частички еды способствуют естественному очищению зубов.  Еще одна причина появления зубного налета – это неподходящие средства гигиенического ухода за зубами. Зубная щетка должна быть умеренно жесткой, не слишком мягкой. Паста должна подходить индивидуально зубам и хорошо очищать. Сам процесс чистки зубов предполагает не просто размазывание зубной пасты по поверхности зубов, а тщательное очищение межзубных пространств и внутренней,  невидимой при открывании рта поверхности зубного ряда. Ну и конечно, зубной камень – это одна из основных проблем всех тех, кто не может распрощаться с сигаретой. Никотин способствует образованию отложений на зубах, разрушая их и вызывая появление налета и камня.

 

  Некоторые успокаивают себя странным убеждением, что зубной камень способствует укреплению зуба и предотвращает его выпадение. На самом деле, именно после образования зубного камня риск выпадения зубов и увеличивается. Появляясь на поверхности зуба, камень начинает разрастаться, увеличиваться в размерах, распространяется на десну, вызывая ее кровотечение и болезненность.  Именно на поверхности зубных камней, которые не обладают гладкой поверхностью, а имеют  пористую структуру, образуется большое количество опасных и вредных микроорганизмов, которые могут вызывать не только заболевания полости рта, но и приносить вред другим органам человека.

 

  Чтобы снять зубной камень, лучше обращаться в  специализированные стоматологические клиники. Сам процедура не причиняет болезненных ощущений. Если вовремя обращаться к врачам, то весь процесс может занять несколько минут. Если стадия заболевания зубов более запущенная, то потребуются радикальные меры. Одним из наиболее распространенных сегодня способов устранения зубного камня является ультразвуковая терапия.  Зубы обрабатывают, снимая камень в определенной последовательности: сначала самый крупный, потом оставшиеся. После того, как камня сняты, зубы нужно еще  отшлифовать, отполировать. В конце всех процедур зубы покрывают еще и специальным раствором, которые образует качественный защитный слой.

 

  Существует еще и механический метод удаления камня с зубов. Для этого стоматолог использует специальные инструменты и приспособления, которыми просто-напросто сдирает камень с зуба. Процедуру нельзя назвать абсолютно безболезненной, в отличие от ультразвукового воздействия. Для людей с повышенной чувствительностью такой метод может показаться настоящей пыткой. Сопровождается процедура большим кровотечением, связанным с повреждением ткани десен. Зато по стоимость эта процедура является самой доступной.

 

  Третий способ, которым удаляется и зубной камень, и начинающийся зубной налет, - это химическое воздействие. На поверхность зубов наносят специальный раствор, который размягчает и  буквально растворяет камень и позволяет впоследствии без лишних усилий его снять.

 

  Новейшим способом, который используется пока далеко не во всех клиниках, считается процедура воздействия сжатым воздухом, струя которого наполнена частичками соды. Процедура считается наименее болезненной из всех описных, но может потребовать больших затрат. Более ощутимой процедура будет в том случае, если снять камень потребуется не только на зубе, но и под десной, куда он уже успел разрастись.

 

  Обращаться в стоматологию для снятия зубного камня  просто необходимо один раз в год. Если в домашних условиях заметно, что на зубах появились ненужные отложения, то необходимо идти к врачу безотлагательно. После лечения зубов важно не забывать проводить процедуру снятия камня.  К сожалению, некоторые клиники игнорируют данные процедуры.

 

  Оставленный без внимания зуб с имеющимся на нем зубным камнем может в скором времени выпасть или разрушиться. Камень постепенно разрастается и под десну, вызывая ее отслоение и неплотное прилегание к зубу. Там скапливается гной из-за болезнетворных микроорганизмов. В результате этого можно не только потерять зубы, а и приобрести более серьезные заболевания, которые станут неизлечимыми.


Теги: Зубной налет и зубной камень

Ваш комментарий:
  • wink winked smile am
    belay feel fellow laughing
    lol love no recourse
    request sad tongue wassat
    crying what bully angry
Вопрос:* Сумма 1 плюс 3?(прописью)
COPYRIGHT © 2010 - 2019 365men.ru Обращение к пользователям. All Rights Reserved.
Яндекс.Метрика