Основные причины кариеса у маленьких детей

Автор: yilia от 15-05-2014, 10:48

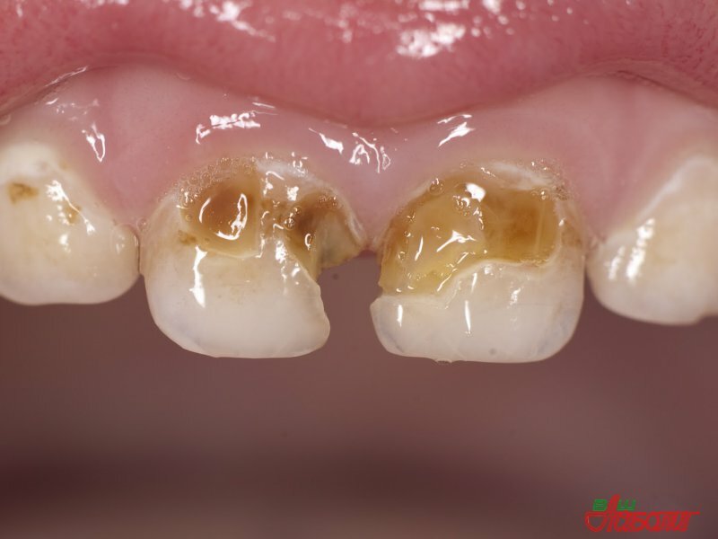
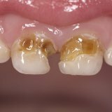
Основные причины кариеса у маленьких детей  Мы не раз замечали, что у маленьких детей чернеют зубки. И перед родителями часто возникает вопрос: стоит ли лечить молочные зубы, если они все равно будут выпадать и меняться на постоянные? Ответ на этот вопрос молодым родителям однозначен, молочные зубы необходимо лечить в обязательном порядке. Кариес у детей встречается довольно часто и представлен в виде поражения молочных зубов. Чаще всего его можно заметить на 4-6 верхних молочных зубах, резцы и клыки более всего подвержены этому заболеванию в маленьком возрасте. Инфекция попадает в ротовую полость ребенку, начинается воспалительный процесс, который в свою очередь приводит к разрушению зуба. В первую очередь нарушается целостность зуба в пришеечной области, эмаль в этом месте становится шероховатой, пористой и слегка белесой. Ткань зуба размягчается и бактериям не составляет особого труда проникнуть в зуб. Тем более, что бактерии начинают выделять своеобразные кислоты, которые и разрушают эмаль. Первыми признаками кариеса у маленьких детей являются белые пятна на зубах, которые легко заметить невооруженным взглядом. На второй стадии образуются коричневые пятна, на которых усиленно начинает скапливаться налет и размножаться бактерии. Существуют основные причины кариеса у маленьких детей и на самом деле их немало. О самых основных причинах кариеса мы расскажем в этой статье.

     Основные причины кариеса у маленьких детей

   В первую очередь необходимо обратить внимание на зубы у тех детей, которые чаще всего подвержены частым простудным заболеваниям и у которых снижен иммунитет. Снижение иммунитета на фоне таких заболеваний как грипп, ротавирусная инфекция или же наличие у ребенка системных заболеваний, таких как сахарный диабет или системная красная волчанка, могут привести к образованию кариеса. У детей, при сниженном иммунитете, в слюне, понижается уровень иммуноглобулина, который в нормальном количестве препятствует росту патогенных бактерий.

 

   Уменьшение количества слюны у маленьких детей, также является основной причиной возникновения кариеса. Если слюна уменьшается, то повышается ее вязкость и зубной налет хуже смывается вместе с бактериями, попадающими в ротовую полость. В таком состоянии, кальций плохо усваивается, что и приводит к кариесу.

   Основной причиной кариеса принято считать и неудовлетворительную гигиену полости рта ребенка. Чистить зубы ребенку, независимо от его возраста и количества зубов необходимо с самого первого появления их в ротовой полости. И условие, которое никогда не обговаривается – это чистить зубы дважды в день утром и вечером.

 

   Не следует увлекаться родителям кормлением малыша во время сна. Это также является причиной возникновения кариеса. После еды, особенно если она была сладкой, бактерии ферментируют углеводы, выделяют в свою очередь кислоты и делают зубную эмаль тонкой. Не следует также давать ребенку в ночное время, во время сна сладкие соки или компоты, содержащие сахар. Если ребенок просит пить, лучше всего ограничиться обычной питьевой водой.

   Особое внимание нужно уделить и родителям, у которых также имеется кариес. Вместе с поцелуями, бактерии переносятся в ротовую полость ребенка изо рта родителей. Поэтому, если отец, либо мать страдают кариесом, лучше всего ограничиться поцелуями в щечку и ни в коем случае в губы.

 

   Как уже было сказано выше, молочные кариозные зубы необходимо обязательно лечить. Кариес – это инфекционный процесс в организме ребенка и поэтому, поражая молочный зуб, он может перейти потом и на постоянный. Во время не вылеченный молочный зуб, может дать осложнение в виде пульпита и периодонтита. Что в свою очередь приведет к болезненности зуба, повышению температуры тела и долгому мучительному лечению.

   Лечение кариозных зубов у маленьких, напрямую зависит от возраста и степени развития кариеса. При незапущенных ситуациях врач стоматолог может провести фторирование эмали в стоматологическом кабинете или же выписать специальную зубную пасту для лечения кариеса в домашних условиях.

 

   В запущенных случаях зуб, подверженный кариесу необходимо полноценно лечить, с удалением инфицированных тканей зуба и в дальнейшем постановкой пломбы.

   Чтобы кариес не развивался в дальнейшем, следует уделить особое внимание на питание ребенка. В рационе каждого малыша обязательно должна присутствовать кисломолочная продукция, богатая кальцием. Не стоит давать ребенку в большом количестве сладости, лучше всего ограничиться одной-двумя конфетками в день.

 

   Примите за правило проверять самостоятельно малышу зубы хотя бы один раз в неделю. И непременно, дважды в год, показывать ребенка врачу стоматологу, даже если у малыша все зубы в порядке. Однако, если у ребенка был кариес, лучше всего показывать его специалисту каждые 3 месяца.


Теги: основные причины кариеса у маленьких детей

Ваш комментарий:
  • wink winked smile am
    belay feel fellow laughing
    lol love no recourse
    request sad tongue wassat
    crying what bully angry
Вопрос:* Сумма 1 плюс 3?(прописью)
COPYRIGHT © 2010 - 2019 365men.ru Обращение к пользователям. All Rights Reserved.
Яндекс.Метрика