15-08-2012, 06:47

Лечение зубов под общим наркозом  Для большинства простых обывателей посещение стоматолога – достаточно серьезный стресс, что показывают многочисленные опросы среди людей. Это легко понять, поскольку лечение зубов – занятие отнюдь не из самых приятных. До самого недавнего времени у стоматологов был не столь широк выбор качественных обезболивающих средств, поэтому пациентам нередко приходилось испытывать довольно болезненные ощущения и даже самые простейшие манипуляции с зубами приносили серьезные страдания. Таким образом, у людей выработалось чувство страха перед зубными врачами, который зачастую мешает многим поддерживать свои зубы здоровыми. Многие пациенты всерьез обеспокоены тем, что им придется вновь испытать сильную боль и неприятные ощущения при лечении зубов, поэтому сегодня достаточно важен и интересен такой вопрос: может ли стать лечение зубов под общим наркозом спасением от этих многочисленных страхов и проблем?

10-07-2012, 05:00

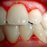
Причины и лечение кровоточивости десен  Как правило, кровоточивость десен является признаком болезней десен. Реже она может свидетельствовать о наличии других заболеваний, некоторые из которых представляют серьезную угрозу для жизни человека. Обычно кровоточивость десен можно обнаружить во время чистки зубов. Часто она сочетается с припухлостью, покраснением и болезненностью десен. Если на протяжении длительного времени не предпринимать никаких мер по устранению причин кровоточивости десен, возможно развитие пародонтита и потеря зуба. Давайте рассмотрим возможные причины и лечение кровоточивости десен.

8-07-2012, 12:27

Лечение пульпита народными средствами  Воспаление мягких тканей внутри зуба называется пульпит. Они обнажаются при глубоком кариесе, так как расположены в сердцевине зуба. Лечится пульпит хирургическим действием, путем очистки полости и каналов зуба от нервов и сосудов с дальнейшим заполнением их специальным пломбирующим веществом. При возможности сохранения корневой части нервов и сосудов зуба пульпит можно лечить, применяя современные биологические методы. Если нет возможности лечить зубы в соответствующем заведении, то лечение пульпита народными средствами можно проводить на протяжении не более 3 дней. А чтобы сохранить зуб, нужно не затягивать и быстрее обращаться к стоматологу и начинать лечение.

28-06-2012, 05:00

Причины и методы лечения бруксизма  Бруксизм – это так называемый скрежет зубами, который встречается у 1-3% людей. В большинстве случаев приступы происходят в ночное время, когда человек спит. При повторении приступов зубовного скрежета из ночи в ночь, длительностью более 1 минуты, может наблюдаться ухудшение состояния эмали зубов и работы челюстных суставов. Давайте рассмотрим основные причины и методы лечения бруксизма.

23-06-2012, 08:41

Осложнения при заболевании зубов у человека  Как не допустить развития осложнений, связанных с заболеваниями зубов? Воспаление нерва зуба передается в окружающие зубы ткани. В воспалительный процесс вовлекаются другие ткани, так возникает гнойный процесс, который может распространиться в каком угодно направлении. Какой орган станет его мишенью, этого предсказать никто не может. Осложнения при заболевании зубов у человека встречаются часто, давайте разбираться вместе!

23-06-2012, 00:09

Лечение бактериального и грибкового стоматита  Стоматит является воспалением слизистой оболочки ротовой полости и при этом во рту появляются небольшие, но слишком болезненные язвочки. Стоматиты бывают самой разной формы, это кандидозный стоматит или его называют молочницей в ротовой полости, также может возникнуть вирусный стоматит или герпесный и афтозный стоматит, который характеризуется наличием на слизистой оболочек ротовой полости язв и их называют афты.

17-06-2012, 08:26

Механические и электрические зубные щетки  Всем нам с самого детства известно, что зубы необходимо чистить регулярно, каждый день, желательно утром и вечером и большинство из нас делает это, используя обычную зубную щетку. Для чего вообще нужно чистить зубы, зачем такая регулярность? Как говорят стоматологи, гигиена полости рта – это необходимость. Прежде всего, посредством чистки зубов с них удаляются остатки пищи, слизь, устраняется неприятный запах изо рта. Кроме того, благодаря современной зубной пасте эмаль зубов насыщается необходимыми минералами: кальцием, фосфором, магнием и др. Содержащиеся в зубной пасте аминокислоты, витамины и прочие вещества питают и укрепляют десна, проникая в них, что в целом способствует предотвращению развития различных заболеваний. Зубной щеткой происходит массаж десен, что усиливает в них кровообращение и тоже способствует сопротивляемости агрессивному воздействию внешней среды.

17-06-2012, 08:15

Причины зубной боли у человека  Если вы не знаете, что такое зубная боль, то вы - счастливый человек. Вряд ли вы помните, как мучились, когда зубы еще только прорезывались. Зубная боль настигает неожиданно и в самое неподходящее время, например, глубокой ночью или в выходные на даче. Самое простое решение в такой ситуации - принять обезболивающее лекарство, например, ибупрофен или анальгин. Но иногда болеутоляющего средства не оказывается под рукой, а терпеть боль до утра, когда можно будет обратиться за медицинской помощью, нет сил. Попробуйте устранить боль средствами народной медицины. Приготовьте теплый раствор соли или соды и тщательно прополощите рот, иногда это успокаивает зубную боль. Поговорим про причины зубной боли у человека?

9-06-2012, 09:45

Укрепление эмали зубов человека  Кофе, цитрусы, газированные напитки, семечки... Что между ними общего? Они разрушают зубную эмаль. Обнаружить среди современных горожанок ту, которая незнакома с кариесом, практически невозможно. Наличие в рационе рафинированных продуктов, вредные привычки — курение или желание погрызть карандаш в стрессовой ситуации — делают своё дело. А ведь уберечь зубы от «кариозных монстров» несложно: достаточно укрепить их природную защиту — эмаль. Поговорим про укрепление эмали зубов человека!

4-06-2012, 09:19

Пульпит воспаление пульпы зуба  Пока маленькая дырочка в зубе не дает о себе знать, мы ее стараемся не замечать - ведь чтобы записаться к стоматологу, придется менять планы, отпрашиваться с работы или учебы и терять время в поликлинике. Однако проходит некоторое время, и зуб снова заявляет о себе, на этот раз совсем не так деликатно. Поговорим про пульпит воспаление пульпы зуба!

3-06-2012, 17:46

Причины возникновения и лечение галитоза  Галитоз – это заболевание, при котором появляется неприятный запах в полости рта. Каждый день у огромного числа людей возникает эта проблема, причем часто этот неприятный запах влечет за собой большие психологические проблемы. К тому же, запах становится препятствием в общении между людьми. Давайте рассмотрим причины возникновения и лечение галитоза.

1-06-2012, 06:25

Зубной камень удаление в домашних условиях  Зубной камень возникает вследствие неухоженности зубов, образуясь из остатков пищи, бактерий и слизи. Мягкий зубной налет, который образуется из этих составляющих вполне можно удалить, если делать это вовремя, однако если он остается на зубах долгое время (более полугода), то постепенно становится твердым, образуя зубной камень и избавиться от него достаточно проблематично. Казалось бы, все мы знаем о том, что зубы следует чистить регулярно, многие делают это дважды в сутки, утром и вечером, однако зубной камень все равно скапливается на зубах в самых труднодоступных местах. Самое распространенное место отложения зубного камня – это боковые поверхности коренных зубов и передние зубы, расположенные на нижней челюсти. Именно здесь затруднено самоочищение зубной поверхности, которое происходит в процессе жевания, а также об этих местах часто забывают, когда чистят зубы щеткой.

31-05-2012, 07:22

Причины развития ангулита или заед  Заеда (ангулит, ангулярный стоматит, ангулярный хейлит) – заболевание кожи и слизистой в уголках рта. Воспалительный процесс сопровождается появлением трещин и болезненных ощущений в уголках губ. Давайте рассмотрим, каковы причины развития ангулита или заед.

26-05-2012, 16:32

Здоровый цвет зубов у человека  Естественный цвет здоровых зубов вовсе не белоснежный, а светло-бежевый или желтоватый. Природная молочная белизна встречается очень редко и даже может служить признаком болезненной минерализации зубных тканей. Какой должен быть здоровый цвет зубов у человека? Отвечаем!

26-05-2012, 16:27

Тщательное отбеливание зубов у человека  Передние зубы - кривые и с желто-серым налетом? Улыбаться приходится, не раскрывая рта? Если это написано про вас, знайте, что выровнять и отбелить зубы можно в любом возрасте. Поговорим про тщательное отбеливание зубов у человека?

26-05-2012, 16:23

Здоровые десна ротовой полости  Поход к стоматологу - далеко не самое приятное мероприятие. И если мы не торопимся на прием к врачу с зубной болью, то, что уж говорить о проблемах с деснами? Этот досадный дискомфорт нами частенько игнорируется. И напрасно. Ведь они – здоровые десны - это главное, что удерживает на «боевом посту» зубы. А такие заболевания, как например, гингивит - прямой путь к их потере. Поговорим на сегодня про здоровые десна ротовой полости.

25-05-2012, 06:04

Зубная нить и флоссы для зубов  Арсенал зубных средств сегодня существенно расширился. На смену зубочистке пришла зубная нить. Только вот какую выбрать? Зубная нить и флоссы для зубов помогут решить проблему.

13-05-2012, 05:33

Клиновидный дефект зубов человека  Неправильный уход за полостью рта или его отсутствие могут стать причиной целого ряда болезней десен и зубов. Одним из них является клиновидный дефект зубов человека.


COPYRIGHT © 2010 - 2019 365men.ru Обращение к пользователям. All Rights Reserved.
Яндекс.Метрика