3-10-2015, 07:16

Действительно ли сахар вреден для зубов  Почему люди любят сладкое? Ученые пытаются обосновать этот феномен с той позиции, что в далеком прошлом человек, будучи на начальном этапе эволюционного развития, испытывал потребность в основных жизненно необходимых веществах, к которым относится не только сахар, но и соль, жиры. За минувшие тысячелетия вкусовые рецепторы сформировались так, что мы стали получать удовольствие от пищи, содержащей в себе эти компоненты, потребность в ней заложена на уровне инстинктов, т.к. играет чрезвычайно важную роль в жизнедеятельности человека. Но с течением времени человек получил слишком легкий доступ к продуктам, содержащим большое количество сахара и даже смог выделить его в отдельное вещество, получив возможность добавлять его куда угодно. Избитая истина, что много сахара есть вредно, известна нам с детства, особенно подчеркивается, что этот продукт крайне негативно влияет на здоровье зубов. Насколько оправдано это утверждение, действительно ли сахар вреден для зубов и в чем этот вред проявляется?

 

28-09-2015, 16:33

Правила ухода за зубными протезами  В отсутствие любого количества зубов, можно воспользоваться зубными протезами. Подобная ситуация будет сохраняться до тех пор, пока наука не достигнет уровня, когда зубы можно будет выращивать заново, но сегодня спрос на хорошие зубные протезы весьма высок. Этот факт заставляет искать возможности сделать искусственные зубы более красивыми, долговечными, естественными, этим вопросом занимается ортопедическая стоматология. Конструкции, называемые зубными протезами, могут быть съемными и несъемными. Одни можно снять для ухода за ними, другие требуют чистки без извлечения из ротовой полости. И в том и в другом случае правила ухода за зубными протезами позволяют значительно увеличить срок их службы, а также соблюсти необходимые условия гигиены полости рта.

14-09-2015, 14:59

Польза ополаскивателей для ротовой полости  Информация о том, что в составе обычного ополаскивателя для полости рта есть химия, никого уже не удивляет. В то же время в рекламах по телевидению стоматологи наперебой рассказывают, что сегодня одной только зубной пасты мало чтобы зубы были здоровыми, а дыхание свежим. Они советуют использовать ополаскиватели для ротовой полости. Но есть и натуральная альтернатива, это кора дуба или эфирное масло чайного дерева. Польза ополаскивателей для ротовой полости действительно есть, но какой ополаскиватель выбрать и на что стоит обратить внимание? Давайте узнаем.

9-09-2015, 14:06

Неприятный запах изо рта или галитоз  По мнению специалистов чаще неприятный запах изо рта или галитоз имеют люди, которым приходиться много говорить. Примерно через 30 минут активного разговора пересыхает слизистая рта и неприятный запах становится ощутимым для окружающих людей.

28-07-2015, 16:27

Продукты которые улучшают здоровье зубов  Состояние зубов это мерило здоровья целого организма. В большинстве случаев это зависит от качества продуктов питания и пищевых привычек человека. Для того чтобы сохранить красивую улыбку диетологи советуют обращать внимание на продукты, которые не только укрепляют эмаль зубов и сберегают ее белизну, но и положительно сказываются на работе целого организма. В данном материале узнаем про продукты которые улучшают здоровье зубов. Можно сказать, что речь пойдет не о тех продуктах, которые позволят в короткие сроки победить кариес или пародонтоз, а о тех, которые обеспечат здоровье зубов в долговременной перспективе.

21-07-2015, 07:27

Подарим детям красивые и здоровые зубы  Распространенность стоматологических заболеваний достигла такого уровня, что дальнейшее невнимание к этой проблеме может иметь самые печальные последствия. Настало время серьезно задуматься — как случилось, что зубы наших детей начинают разрушаться уже с двухлетнего возраста? Совершенно очевидно, что в этом виноваты мы, взрослые.

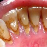
18-07-2015, 09:51

Как убрать зубной камень дома  Наверное, каждый человек в своей жизни встречался с проблемой образования зубного камня. Часто такое отложение на зубах может долгое время оставаться незамеченным, однако всегда есть симптомы, указывающие на его присутствие. Например, воспалившиеся десны, неприятный запах и т.п. Эти и другие факторы должны заставить человека серьезно отнестись к этой проблеме. Потому что появляется риск развития пародонтита. Замечая наличие симптомов в ротовой полости, многие хотели бы знать, как убрать зубной камень дома. Также важно узнать, что делать, чтобы он в будущем больше не появлялся.

16-07-2015, 17:46

Как человеку не бояться визита к стоматологу  Все люди чего-то боятся. Кто-то боится пауков, кто-то высоты, а кто-то стоматолога. И последний страх, наверное, самый распространенный, даже несмотря на развитие современной стоматологии. Поэтому важно узнать, как человеку не бояться визита к стоматологу.

15-05-2015, 19:22

Заболевание перикоронарит или воспаление капюшона десны  Всем известно, что прорезывание молочных зубов у детей часто протекает довольно болезненно. Однако вызвать болевые ощущения может и прорезывание коренных зубов. Более того, этот процесс может сопровождаться воспалением десны. В стоматологии это явление называется перикоронаритом.

15-04-2015, 19:57

Заболевание гингивит или воспаление пародонта  Чаще всего мы обращаемся за помощью к стоматологу, когда у нас появляется кариес, начинает болеть зуб. К сожалению, при воспалении десен далеко не все спешат в стоматологический кабинет. Во многом это объясняется тем, что заболевания, связанные с воспалением десен, как правило, протекают безболезненно. А если боль все же приходит, то спасти зуб часто уже не удается.

4-04-2015, 10:31

Щель между передними зубами у человека  Щель между зубами у человека в медицине называется диастемой. Это довольно распространенное явление. Некоторые люди считают, что это их «изюминка», а вот другие всеми силами пытаются от нее избавиться.

9-03-2015, 18:50

Кариес зубов причины и профилактика  В последние 30 лет распространенность кариеса зубов среди детей и подростков постепенно сокращается, несмотря на поддержание постоянного уровня потребления простых сахаров. Какие факторы следует отблагодарить за наличие такого благоприятного исхода? Кажется, что решающее значение имеет улучшение гигиены полости рта, люди чаще чистят зубы и пользуются зубной нитью. Но, несмотря на это кариес все же является насущной проблемой, как детей, так и взрослых, поэтому важно собрать больше информации и узнать что такое кариес зубов причины и профилактика этого заболевания.

6-03-2015, 10:30

Апикальный периодонтит временных зубов  Довольно часто в практике детских стоматологов встречается такое заболевание как обострившийся или хронический апикальный периодонтит временных зубов. Для данного заболевания характерно воспаление периодонта, которое постепенно перемещается к верхушке корня зуба. Данная патология характерна для детей.

 

3-03-2015, 01:11

Одномоментная имплантация в стоматологической практике  Всем известна простая истина, что намного легче установить контакт со своим собеседником, улыбнувшись ему. Ведь именно искренняя улыбка располагает к себе. Но что же делать, если в зубном ряду образовался дефект, который сильно заметен при улыбке? В таком случае стоит прибегнуть к имплантации. Это самый лучший и современный вариант лечения, который быстро устранит данную эстетическую проблему. На сегодняшний день именно одномоментная имплантация в стоматологической практике пользуется наибольшим успехом, так как имеет целый ряд плюсов по сравнению с классической.

 

27-02-2015, 20:52

Причины возникновения и лечение кисты зуба  Киста зуба – это полостное образование. Внутри она заполнена жидкостью. Это третья стадия воспаления зуба. На первой стадии развития воспаления появляется гранулема. Она представляет собой тонкую капсулу. Со всех сторон гранулема окружена соединительной тканью, которая обычно образуется у человека во время заживления ран. Если же внутри гранулемы появится воспалительная жидкость, то воспаление перейдет на вторую стадию. Образуется кистгранулема. Если такой «мешочек» полностью заполнится лимфой, то образуется киста зуба.

 

25-02-2015, 19:14

Особенности операции синус лифтинг  Синус лифтинг – это операция, которую проводят перед установкой имплантата. Данная процедура назначается тем пациентам, у которых нет жевательных зубов на верхней челюсти. Синус лифтинг – это костная пластика. Во время операции происходит наращивание костной ткани. Делается это для того, чтобы в дальнейшем правильно и хорошо установить имплантат. Исходя из того, что такая процедура очень серьезная, пациентам просто необходимо знать особенности операции синус лифтинг.

 

26-01-2015, 16:08

Рентген зубов маленьким детям  Рентген зубов – это практически самый точный метод диагностики, который позволяет выявить наличие заболеваний в ротовой полости. Именно по этой причине стоматологи назначают данную процедуру не только взрослым людям, но и маленьким детям. Естественно, что многие мамы сразу впадают в панику по поводу такого назначения. Ведь они-то не раз проходили через это, а вот когда речь идет о любимом чаде… Именно поэтому многие родители начинают искать информацию, чтобы перестраховаться.

 

23-01-2015, 16:27

Лечение зубов у маленьких детей под наркозом  Чтобы иметь возможность проводить лечение зубов у детей под наркозом, стоматологической клинике требуется выполнить ряд жестких условий. Самое главное – это наличие соответствующей лицензии, которая позволит проводить такое лечение.

 


COPYRIGHT © 2010 - 2019 365men.ru Обращение к пользователям. All Rights Reserved.
Яндекс.Метрика