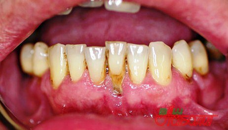
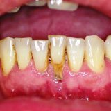
Заболевания полости рта очень распространенные в наше время. Однако, к сожалению, не каждый обращает внимание на покраснение десен, кровоточивость во время чистки зубов. А такие симптомы могут привести к более серьезным заболеваниям. Самым частым заболеванием полости рта является гингивит. Способы лечения заболевания гингивит бывают разными. Их стоит знать для того, чтобы избежать дальнейшим воспалительных процессов.
Никому не нравится, когда из ротовой полости собеседника исходит неприятный запах. Однако не стоит отчаиваться, так как существуют способы избавления от неприятного запаха изо рта. Об этом мы и поговорим.
Одной из причин возникновения запаха во рту являются продукты жизнедеятельности колоний бактерий, находящихся на языке, дёснах, зубах, миндалинах, слизистой оболочке рта. Эти продукты представляют собой газы, содержащие серу, которая придаёт им специфический запах. Самым простым способом избавления от него является гигиеническая обработка полости рта при помощи чистки зубов, полоскания, очищения поверхности языка от налёта. Для того чтобы очистить язык от налёта нужно провести по нему кусочком махровой ткани с жёстким ворсом или воспользоваться специальной щёткой. Кстати, сейчас производители средств гигиены рта выпускают зубные щётки, у которых обратная сторона не гладкая, а шероховатая или ребристая и предназначена для ухода за языком.
Кариес – одна из древнейших проблем человечества. Можно с уверенностью утверждать, что как только на планете появился Человек, сразу же возникла и проблема кариеса. И, несмотря на все достижения современной науки, окончательную точку в теории возникновения, профилактики и лечения кариеса у человека ставить ещё очень и очень рано.
Каждый день полость нашего рта подвергается действию разных агрессивных факторов. Это пища разных температур, курение (как активное так и пассивное), вода с примесями разных неполезных веществ. От этого состояние полости рта значительно ухудшается, появляться различные заболевания, боли, неприятный запах. А все это от того, что мало кто знает, что же такое правильный уход за полостью рта.
Красивая белоснежная улыбка является поводом для гордости, она оказывает положительное влияние на окружающих и придает своему обладателю уверенности в себе. Однако множество людей не обладают идеальными зубами, нередко причиной для душевных терзаний является желтый цвет зубной эмали. Хотелось бы выяснить, каковы основные причины желтизны зубов, ведь многие считают, что их цвет способен многое сказать о здоровье как самих зубов, так и всего организма в целом. Тем не менее, не все так однозначно, как может показаться на первый взгляд. Ученые заявляют, что основные причины столь нелюбимой нами желтизны зубов могут не зависеть ни от нас, ни от внешних обстоятельств.
Немало родителей рассуждает так: детский кариес молочных зубов лечить не обязательно, поскольку такие зубы все равно выпадут. Это мнение является ошибочным по многим причинам, поскольку появившееся в зубе ребенка даже небольшое дупло становится постоянным источником инфекции, а это вредно не только для остальных зубов и здоровья ротовой полости в целом, но и оказывает крайне негативное влияние на систему пищеварения. Вам кажется, что ребенок часто бывает простужен, у него воспаляется и краснеет горло? Вполне возможно, что всему виной детский кариес, поскольку данное заболевание молочных зубов вполне способно приводить к подобного рода симптомам.
Считается, что зуб мудрости носит такое название по той причине, что у человека он появляется в уже довольно зрелом возрасте. Обычно это происходит к 18-25 годам, но не редки случаи, когда зуб мудрости прорезается и гораздо позже, к 30-ти, даже 40-ка годам. Специалисты-стоматологи чаще называют зубы мудрости «восьмерка», именно такой порядковый номер этот зуб будет иметь (отсчет начинается с центра). Многие врачи дают своим пациентам рекомендации по удалению зуба мудрости и на то есть вполне серьезные основания, о которых мы поговорим чуть ниже.
Гигиена ротовой полости очень важна, потому как может защитить зубы от разных заболеваний, в том числе кариеса и пародонтоза. Осуществлять гигиену можно с помощью различных методов и средств. Средства для гигиены ротовой полости разнообразны это и зубная паста, щетка и всяческие порошки и ополаскиватели и даже специальные нити. Все они очень важны и нужны для гигиены полости рта.
Одним из самых распространённых заболеваний зубов является кариес. На борьбу с этим заболеванием расходуется немало средств. Невылеченный кариес рано или поздно приведёт к потере зубов. А если пища не будет пережевываться должным образом, то это может повлечь за собой и другие заболевания, желудка, кишечника и поджелудочной железы. Поэтому, будет полезно узнать, какие существуют причины развития кариеса зубов и профилактика.
Зубная эмаль - это верхняя оболочка зуба. Несмотря на то, что она совсем тонкая она еще и очень твердая. Эмаль защищает зубы, и способствует тому, чтобы они оставались белыми и здоровыми. Зубная эмаль состоит из минеральных веществ, кальция и фосфора. Как восстановить поврежденную зубную эмаль, этот вопрос интересует все большее количество людей. Восстановить эмаль можно в специальных клиниках. Процедуры косметической стоматологии стоят сегодня не мало.
В последнее время повышенным спросом пользуются эликсиры и средства для ополаскивания полости рта, об этом говорят исследования маркетологов и увеличение объемов продаж этого средства гигиены. Действительно ли так эффективен ополаскиватель, и в самом ли деле помогает поддерживать полость рта в здоровом состоянии и борется с причинами и последствиями стоматологических заболеваний?
Белоснежные зубы в природе встречаются редко: естественный цвет эмали чаще желтоватый или сероватый. Но это не повод оказываться от отбеливания. Оно не только возвращает первозданный цвет зубам: ежедневная чистка, осмотры и процедуры, которые нужно проводить регулярно, отказ от вредных привычек - все это на пользу здоровью полости рта. Поговорим про белые зубы в полости рта.
По опубликованным ВОЗ данным 100% взрослого населения и около 80% детей имеют пародонтит той или иной степени тяжести. В свою очередь заболевание пародонтозом встречается значительно реже, на 5-7% населения. В чем же различие этих двух, похожих в симптоматике, заболеваний и можно ли провести эффективное лечение пародонтоза и пародонтита народными средствами?
Мы сегодня раскроем секреты, как ухаживать за зубами дома. У одних проблемы с деснами, у других желтые зубы от частого питья чая и кофе. А еще некоторые хотят найти лучшую замену зубным пастам, которые разрушают зубную эмаль. В этой статье вы узнаете, как приготовить домашний зубной порошок и мазь для десен. Ну что ж, начнем.
Повышенная чувствительность зубов – гиперестезия, в настоящее время довольно распространенное явление. Люди жалуются на дискомфорт и болевые ощущения в зубах при любом внешнем раздражителе: приеме сладкой, горячей, острой или холодной пищи, потоке воздуха, чистке зубов. Гиперестезия способна не только приносить страдания, но и существенно мешать лечению зубов, осложняя стоматологические процедуры ноющей и даже острой болью.
Согласно данным статистики, около 80% людей имеют неправильный прикус. Нарушениями прикуса считаются смещения верхних и нижних челюстей относительно друг друга. Правильное положение прикуса, это когда верхний ряд зубов совсем немного прикрывает нижний ряд. Но в стоматологической практике встречаются различные виды прикуса и причины его нарушения, которые приводят к различным неприятным последствиям. Дело не только в эстетичности, проблем может быть гораздо больше, если не обращать на свое здоровье достаточно внимания.
Гингивит, как любое воспалительное заболевание, необходимо лечить под надзором врача. Заболевание это бывает локализованным (то есть воспаление развивается в районе одного-двух зубов) или распространенным (очаги воспаления можно найти в нескольких местах). В случаях, когда воспаление локализовано, и иммунитет пациента позволяет, врач может принять решение о лечении без антибиотиков. Если же воспаление имеет несколько очагов, возможно назначение антибиотических препаратов, которые уничтожат микробы, вызывающие воспаление. Поговорим про воспалительное заболевание гингивит человека.
Кликаем по кнопке "Добавить на Яндекс" и виджет установится у Вас на странице и Вы будете видеть свежие статьи с сайта
